Before And After Dental Transformation Images
Smile Gallery
Take a visual tour of our smile gallery for a before-and-after look at dental problems we typically encounter and resolve at LI Dental Solutions in Farmingdale, NY.

Before
Patient was missing four upper teeth.

After
A four-unit fixed bridge.

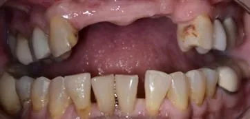
Before
Patient was missing upper and lower rear teeth resulting in chipped frontal teeth due to increased work load.

After
Recommended treatment included repairing chipped frontal teeth using crowns and bridges and restoring missing rear teeth with implants and fixed crowns.

Before
This 15-year old boy complained about the large space (Diastema) between his two front teeth. He did not want to wear braces due to the expense and amount of time required to complete the treatment.

After
The treatment plan consisted of two composite veneers. Total chair time was one hour and without the use of any Novacaine. Advantages: savings of several thousand dollars, treatment time of one hour compared to one year, as well as no pain and embarrassing braces.

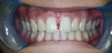
Before
This patient was very unhappy with her smile due to discolored, chipped and misaligned teeth.

After
To achieve a whiter smile and to bring the teeth in proper alignment the treatment plan consisted of composite veneers and crowns.